Pirátští náměstci opustili funkce na ministerstvech zdravotnictví i práce
Místo politického náměstka na ministerstvu zdravotnictví uvolněné po Josefu Pavlovicovi zůstane neobsazené. Stejně tak je neobsazená funkce po Zuzaně Freitas Lopesové na Ministerstvu práce a sociálních věcí.
Vakcíny proti černému kašli pojišťovny dospělým uhradí příští rok
Kombinované vakcíny proti černému kašli, záškrtu a tetanu by mohly zdravotní pojišťovny dospělým hradit již příští rok. Jejich úhradu z pojištění doporučila [6.6.] Ministerstvu zdravotnictví ČR Národní imunizační komise.
Příznaky encefalitidy lidé na podzim zamění za chřipku i nachlazení
Více než třetina pacientů se nemocemi od klíšťat nakazí v podzimních měsících. Klíšťata jsou aktivní, dokud teploty neklesnou pod pět stupňů Celsia. Právě na podzim příznaky nemocí od klíšťat lidé zaměňují za chřipku i nachlazení.
Španělsko vyráží do boje s dětskou nadváhou a obezitou
V reklamě na čokolády, bonbóny či energy drinky již brzy slavné celebrity Španělé nezahlédnou. Tamní vláda navrhla zákon, který to zakazuje. V zemi totiž rychle přibývá dětí s nadváhou a obezitou. Stejný trend je v Česku, kde se ale nic neřeší.
Čeští biskupové schválili žehnání párům stejného pohlaví
Žehnání párům stejného pohlaví přijala ve společném stanovisku, které vychází z dokumentu Vatikánu, i Česká biskupská konference. Obřad se ale nesmí podobat sňatku a požehnání kněz neuděluje před oltářem a ani v liturgickém oděvu.
ČPZP začne koncem května posílat přeplatky za léky
Téměř 7,3 milionu korun pošle ČPZP pojištěncům, kteří v prvním čtvrtletí překročili ochranný limit na regulační poplatky a doplatky za léky. Pojišťovna vůbec poprvé vrátí přeplatky i klientům s nahlášenou invaliditou.
Na cestě pomoci s Florence Nightingale
Světová zdravotnická organizace [WHO] označila letošní rok za „Rok sestry a porodní asistentky“. V květnu totiž uplyne 200 let od narození Florence Nightingale. Ženy, která se vzdala pohodlného bezstarostného života proto, aby zlepšila úroveň péče o nemocné a churavé.
Počet středoškoláků roste. Mnozí cestují za výukou i napříč kraji
Počet středoškoláků v ČR mezi školními roky 2013/14 a 2023/24 stoupl o osm procent. Nejvíce, o 24 procent, přibylo středoškoláků s trvalým bydlištěm ve Středočeském kraji, o 20 procent pak žáků v Praze.
Software analýzy rentgenových snímků přináší první ovoce
Lékaři Nemocnice Šumperk testují umělou inteligenci pro čtení rentgenových snímků. A výsledek? Software pracuje neúnavně a na RTG snímku za krátkou dobu odhalí například zápal plic nebo najde miniaturní nádorové ložisko.
Zdravotnický výbor: Epidemie jde populací velice rychle
Vlna covidu prochází českou populací a její průchod je dle odborníků třeba brzdit. Zejména to se řešilo na středečním sněmovním Výboru pro zdravotnictví. V následujících týdnech budou počty pacientů v nemocnicích stoupat.
O své blízké se doma stará asi 800 000 lidí, a stále jich přibývá
O své blízké s omezenou soběstačností se stará v ČR asi 800 000 lidí a stále jich přibývá. Chybí terénní a další služby.
Alzheimer Home má domovy ProSeneo ve Varech a Říčanech
Domovy ProSeneo v Karlových Varech a Říčanech u Prahy přecházejí pod Penta Hospitals CZ. Obě zařízení se začlení do sítě Alzheimer Home.
Vládu a její poslance novela o sociálních službách asi vůbec nezajímá
Z dnešního mimořádného jednání Sněmovny koaliční poslanci opět vyřadili závěrečné schvalování novely o sociálních službách. To samé udělali už na začátku měsíce.
Systémová sklerodermie bývá překvapením i pro lékaře
Postižení cév systémovou sklerodermií má za následek fialovění kůže prstů, uší, nosu, jazyka. Zúžení nebo i uzavření cév způsobuje nedokrvování těchto částí těla a nemocný pak trpí silnou bolestí, pálením nebo brněním.
Příznaky myelomu přisuzují lidé stárnutí, tím ale oddalují léčbu
Mnohočetný myelom, druhá nejčastější rakovina krve u nás, se v začátcích nijak zvlášť neprojevuje. Pacienti mají bolesti v zádech, žebrech. Jelikož je průměrný věk pacienta 70 let, přisuzují často příznaky myelomu stárnutí. A to je problém.
Uznaná ochrana po covidu-19 se prodlužuje na 180 dnů
Uznaná ochrana po covidu-19 se prodlužuje ze stávajících 90 dnů nově na 180 dnů. Výsledky mezinárodních studií ukázaly, že vysoké hladiny specifických protilátek u pacienta přetrvávají dlouhodobě a chrání ho před opakovanou infekcí.
Jan Žaloudík: Lidé by měli začít odkládat roušky
Opatření v ČR kvůli covid-19 by se měla co nejrychleji uvolnit. Což platí i pro povinné nošení roušek. Uvedl to Jan Žaloudík, onkolog a senátor za ČSSD. Podle něj se křivka případů láme a nákaza postupně odeznívá.
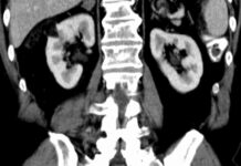
Rakovina ledvin postihuje více muže než ženy
Karcinom ledvin tvoří cca dvě až tři procenta ze všech nádorů. V ČR postihuje rakovina ledvin cca 15 osob na 100 tisíc obyvatel. Častěji onemocní zhoubným nádorem ledvin muži než ženy, a to v poměru dvě ku jedné.
Určit osoby k nahlížení do lékového záznamu lze už teď
Od letošního prosince mají pojištěnci možnost upravovat oprávnění osob k nahlížení do lékového záznamu. Začalo totiž běžet takzvané přechodné období, které potrvá až do konce května příštího roku. Úpravy ale budou možné i po skončení tohoto přechodného období.
Syfilis mělo loni v Česku 870 lidí, nejvíce od roku 2000
V Česku loni stouply počty nakažených syfilidou na nejvyšší úroveň od roku 2000. Syfilis se u nás loni potvrdil u 870 osob. V roce 2019 jich bylo 612. S odvoláním na Státní zdravotní ústav [SZÚ] to uvedla Fakultní nemocnice Královské Vinohrady.




























































